По данным беспристрастной статистики, в возрасте от 40 до 44 лет импотентом становится каждый четвертый мужчина. К 65 годам таких людей уже половина. На Земле почти миллиард импотентов. Футурологи не прогнозировали решения этой проблемы и в самом отдаленном будущем. А ее вдруг решили. Однако человечество, скорее всего, не сможет воспользоваться этим шансом
НАКОНЕЦ

«Все болезни идут из головы, — говорил много веков назад легендарный Парацельс, — никто и никогда не сможет справиться с болезнью, пока не поймет, что она выдумана им же». «Девяносто процентов случаев импотенции, — вторят ему современные сексопатологи, — идут от головы». В медицине есть даже такой термин, как «синдром неудачника», когда здоровый по всем параметрам мужчина не способен ни на что из одного только страха опозориться.
Доктор Жером Редут, сотрудник Лионского центра исследований и медицинских изысканий с применением позитронной эмиссионной томографии (CERMEP), начал свое наступление на импотенцию несколько лет назад.
В основу исследований он положил тот факт, что многие из страдающих этим недугом мужчин не остаются равнодушными при просмотре самой обыкновенной эротики.
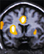
Чем же отличается женщина на экране от женщины в руках? Именно такой вопрос задал себе 27-летний француз. Задал и... положил девятерых солидных мужчин смотреть всякую дрянь. Положил он их в компьютерный томограф. Вообще-то особых сенсаций от эксперимента не ожидалось, поскольку точки, ответственные за наслаждения эротического плана, были к тому времени уже давно известны и нанесены на карту человеческого мозга.
Однако эксперимент показал, что при подобном способе возбуждения как раз эти-то точки и не задействуются. Вовсе даже наоборот, яркие вспышки в мозгу испытуемых замечались именно в тех местах, где в случае реального контакта обычно стоит полный штиль. Сам ученый объяснил этот факт различными способами воздействия на психику. «Конкурентные точки», как их назвал доктор Редут, это, по его мнению, специальный резерв, предназначенный природой не столько для помощи человеку в продолжении рода, сколько для снятия сексуального напряжения в случае, если оно грозит необратимыми нарушениями во всем организме.

И что, спросит со здоровым любопытством читатель, ну «конкурентные точки», а импотенция-то тут при чем? А вот послушайте дальше.
Если у вас есть прибор для измерения пульса, включите его, дождитесь, пока на табло установится точная цифра, а затем прикажите своему сердцу биться чаще. Как? Да очень просто: просто смотрите на табло и ждите момента, когда цифры начнут расти. Не пройдет и пары минут, как ваш пульс участится процентов на двадцать. То же самое можно проделать и в сторону уменьшения. И чем чаще вы будете повторять эту процедуру, тем легче у вас это будет получаться. В принципе то же самое можно научиться делать и без прибора, но поскольку возможности оперативного контроля над ситуацией в таком случае у вас не будет, то время на обучение увеличивается многократно. Йоги тоже умеют замедлять свое сердце, но учатся они этому годы, а вы, вооружившись достижениями прогресса, можете постичь эту науку в несколько дней.
Ну скажите, какой мужчина не мечтает о подобном? Продолжая свои эксперименты, доктор Редут решил проверить, насколько управляемы открытые им «конкурентные точки». Дело в том, что точки, которые были известны ранее, прочно связаны с гормональными центрами, в то время как у точек новых таких ярких связей не наблюдалось. Перед испытуемыми были поставлены экраны томографов с изображением их мозга. «Не думайте ни о чем, думайте только об этих зонах, — наставлял их доктор, показывая на дисплеях место дислокации «конкурентных точек». — Скоро они начнут светиться». Этих слов было вполне достаточно для того, чтобы уже через несколько минут у семи из девяти испытуемых наступила ярко выраженная эрекция. И опять же на абсолютно безгормональном фоне!

Кстати, то, что такое бывает, не должно вас удивлять. Давно известно, что даже полностью бесплодные мужчины, в крови которых половые гормоны вообще отсутствуют как класс, тем не менее часто оказываются вполне состоятельными в интимном плане. Как сказал известный сексолог наш соотечественник Юрий Прокопенко: «Секс основывается на гормонах, а осуществляется психологией».
Так вот. Возвращаясь к нашим испытуемым, стоит сказать, что уже через несколько сеансов ВСЕ они научились самостоятельно, то есть без помощи техники, достигать нужного результата.
Но вот проблема — метод «конкурентных точек» не более чем лабораторное исследование и, скорее всего, им останется. Западная медицинская общественность до сих пор не уверена, стоит ли человеку, пусть даже ради удовольствия, класть голову в компьютерный томограф, да и вообще просвечивать себя разными лучами — от рентгеновских и изотопных до ультразвуковых.
Наша медицина на этот счет куда человечнее. Если бы мы открыли такой метод лечения импотенции, утверждают наши специалисты, демографическая проблема в России была бы решена в считанные дни, поскольку наши медики твердо стоят на том, что компьютерная томография нанесет гораздо меньший вред, чем, скажем, просмотр телевизора с малого расстояния.
Кирилл ВОРОБЬЕВ
