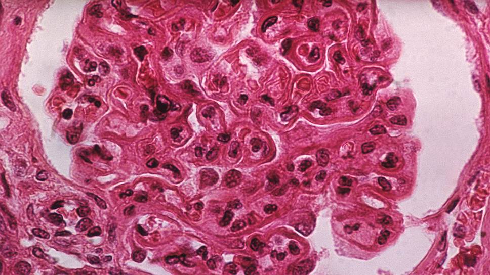
Еще один шаг к разгадке причин аутоиммунных заболеваний сделали исследователи из Института Скриппса (США). Они изучали на мышах развитие красной волчанки — неизлечимого заболевания, при котором иммунная система атакует собственный организм. Оказалось, что начало болезни связано с активацией особого белка — энзима RIPK3. Обычно он подает сигнал организму во время атаки вирусов или бактерий, но при аутоиммунных болезнях срабатывает без внешней причины. Ученые нашли способ подавить активность гена, связанного с работой этого энзима, и в итоге развитие красной волчанки у мышей полностью остановилось. "Мы нашли сигнал, вызывающий болезнь, но не знаем, поможет ли это при ее лечении",— отмечает один из авторов исследования Чжун Кан.
Фото: © Science Source / Biophoto Associates / DIOMEDIA
