Грудное вскармливание способствует успешной карьере
Залог роста
Любопытное исследование провели специалисты Бристольского университета. Проанализировав результаты 60-летних наблюдений за 1400 младенцами, родившимися в довоенной Великобритании, ученые пришли к выводу, что дети, вскормленные материнским молоком, оказываются более успешными в последующей жизни, чем их сверстники, питавшиеся молочными смесями. При этом скорость продвижения по социальной лестнице напрямую зависела от продолжительности кормления. Биологи даже установили, что если материнское молоко получал только один из детей в семье, то его шансы на карьеру возрастали на 16 процентов по сравнению с братьями или сестрами.
— Причины благотворного эффекта грудного вскармливания могут иметь как биологический, так и психологический характер, — считает автор исследования доктор Ричард Мартин. — Мы знаем о связи грудного вскармливания с крепким здоровьем и повышенными интеллектуальными способностями ребенка. Несомненно также и то, что кормление грудью способствует формированию эмоционального контакта между матерью и ребенком, что весьма существенно влияет на его последующее развитие и социализацию.
Интересно, что сейчас смеси для новорожденных используют люди с небольшими доходами. Однако в 30-е годы прошлого века искусственное вскармливание было распространено во всех слоях общества.
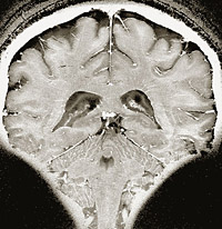
Формула мозга
Нейрофизиологи научились читать мысли человека
Международная группа нейрофизиологов Оксфордского университета разработала методику томографии, позволяющую предугадать намерения человека еще до того, как он начнет действовать. Эксперимент был прост: ученые просили добровольцев по собственному усмотрению сложить либо вычесть числа, которые им показывали на экране. Одновременно проводилось сканирование мозга испытуемых, после чего полученные томограммы были обработаны с помощью компьютерной программы, призванной вывести общий алгоритм мозговой активности в моменты принятия простейших решений.
«В ходе исследования были обнаружены так называемые метки активности в медиальной предлобной коре головного мозга, — говорится в отчете руководителя экспериментов профессора Джона-Дилана Хайнза из Института когнитивных проблем и нейрофизиологии им. Макса Планка. — Причем у 70 процентов испытуемых реакции изменения активности были одинаковыми в зависимости от того, намеревался ли человек вычитать числа или складывать их».
Это, в свою очередь, позволило исследователям заявить о разработке первой, пусть пока и примитивной, технологии чтения мыслей. Однако, как опасается профессор Хайнз, эту методику могут быстро взять на вооружение спецслужбы в добавление к уже имеющемуся арсеналу «детекторов лжи». Поэтому уже в этом году будет создано Общество нейроэтики для обсуждения последствий исследований мозга.
Серебро против СПИДа
Сибирские ученые изобрели препарат на основе молекул серебра, который может бороться с ВИЧ-инфекцией
Серебряные пули, как известно, эффективны против вампиров, зомби и прочей нечисти. А вот специалисты иркутского Института химии им. А. Фаворского на основе молекул серебра разработали препарат, который способен уничтожить другие «силы зла», а именно все виды болезнетворных бактерий и вирусов. Но этот металл очень плохо усваивается человеческим организмом и его практически невозможно доставить в очаг заболевания. Но в Иркутске создали специальный молекулярный «ящик» для молекул серебра.
— Контейнер создан из полисахарида сибирской лиственницы, — говорит один из разработчиков нового препарата Борис Сухов. — Это вещество очень легко проникает в человеческую клетку и несет в себе молекулу серебра. Достигая клетки, серебро обеззараживает ее. Кроме того, обе эти составляющие способны восстанавливать иммунную систему организма.
Взгляд изнутри
Американский медицинский центр в Москве задает новые стандарты эндоскопических исследований
Эндоскопия — это метод визуальной диагностики (от греч. endon — внутри и scopeo — смотрю), позволяет заглянуть внутрь человека, не прибегая к помощи скальпеля. Именно эндоскопии многие области медицины обязаны своим успешным развитием, например гастроэнтерология. Другое дело, что в представлении самих пациентов эндоскопия зачастую связана с многими противопоказаниями, риском осложнений и довольно неприятными процедурами глотания зонда. Однако быстрое развитие эндоскопической техники оставило все страхи в прошлом. В этом достаточно убедиться, заглянув в новый эндоскопический кабинет Американского медицинского центра в Москве, оснащенного самым передовым оборудованием: например, здесь есть видеоэндоскопическая стойка Exera от японской компании Olympus, которая оснащена аппаратурой для видеозаписи на DVD эндоскопического вмешательства, чтобы пациент смог в случае необходимости проконсультироваться и с другими специалистами. Электрохирургический блок и набор инструментария позволяют производить удаление полипов желудочно-кишечного тракта.
«Теперь мы можем предложить нашим клиентам самый широкий спектр эндоскопических услуг», — говорит руководитель эндоскопической службы АМЦ Игорь Кирьянов. — Кстати, проведение обследования возможно и с обезболиванием, так что теперь все противопоказания сведены к минимуму.
