Проблема-2008: возможно, уже в 2008-м новый астероид принесет Земле ледниковый период
Дождались?
В конце апреля астрономы открыли новое небесное тело под названием 2006-HZ51. Это вполне заурядный астероид диаметром 800 метров, но расчеты выявили 165 возможных дат его столкновения с Землей. Ближайшая — 21 июня 2008 года. В списке опасных для Земли объектов, составляемом NASA, 2006-HZ51 стал крупнейшим, а двухлетний срок, оставшийся до первого сближения, исключает корректировку орбиты чужака. При этом для 400-метрового астероида 99942 Apophis, открытого в 2004 году, шансы врезаться в Землю в 1000 раз больше, но до столкновения с ним остается более 30 лет. Поэтому повлиять на траекторию 99942 Apophis будет можно, а на траекторию 2006-HZ51 нет. Если местом падения 2006-HZ51 станет океан, это вызовет цунами и выброс миллиардов тонн водяного пара в атмосферу. Если суша — в воздух поднимется пыль. И то, и другое затруднит доступ солнечных лучей к поверхности планеты. Так что, добро пожаловать в новый ледниковый период! Впрочем, вероятность катастрофы ученые пока оценивают как одну шестимиллионную. Увы, по мере уточнения траектории астероида эта цифра может меняться, и не в лучшую сторону.
Сделай ее чужой
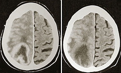
Одну из самых опасных опухолей мозга решено побеждать по-новому: ее будет атаковать организм больного
Американцы успешно завершили второй этап испытаний вакцины, способной замедлить рост опаснейшей опухоли мозга — мультиформной слонглиобластомы. До сих пор больные не жили с ней больше года. Лечить ее хирургически почти невозможно: она состоит из бесчисленного множества мелких клеток, рассыпанных по самым разным местам.
Однако медики нашли у глиобластомы ахиллесову пяту. На мембранах ее клеток есть белок EGFRvIII. В здоровых клетках этого белка нет. Значит, можно заставить иммунную систему больного напасть на клетки опухоли, не рискуя повредить здоровые ткани. Что и попытались сделать разработчики вакцины. Испытания прошли в Центре по изучению рака при Техасском университете и в Медицинском центре Университета Дюка. 19 из 23 пациентов пока живы. Некоторые пациенты получают вакцину уже более двух лет.
Попытки подключить иммунную систему организма к борьбе с опухолями головного мозга предпринимались уже не раз. Нынешняя — при всех издержках — стала одной из самых удачных.
Башмачок для «феи»
Американские ученые сделали умную обувь с сигнализацией специально для проституток
Скоро труд проституток Нью-Йорка станет более безопасным. Инженер Андрю Милмо из компании Eyebeams в рамках проекта Aphrodite создал специальные туфли-сабо для проституток. Обувь оснащена системой спутниковой навигации, сигнализацией и ЖК-дисплеем. Как только злоумышленники начнут приставать к «ночным бабочкам», туфельки включат сирену и пошлют тревожный сигнал в ближайший полицейский участок. Опытный образец туфелек уже был представлен на прошедшей в Нью-Йорке выставке «Быстрый взгляд». Когда их можно будет приобрести, пока неизвестно.
