Нейрохирурги в Ижевске прооперировали пациентку с крупной опухолью мозга
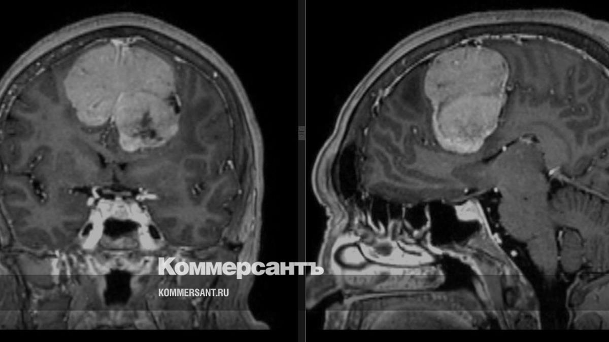
Нейрохирурги ГКБ №7 в Ижевске прооперировали 60-летнюю жительницу с крупной опухолью мозга. Как сообщает пресс-служба минздрава Удмуртии, новообразование занимало почти 14% объема полости черепа — 189 куб. см.
Фото: Пресс-служба минздрава Удмуртии
Фото: Пресс-служба минздрава Удмуртии
Пациентка долго не обращалась к врачам, страдала от головных болей, наблюдалось ухудшение памяти, внимания. «Родственники отправили ее на обследование, где была выявлена опухоль мозга — менингиома больших размеров. Было принято решение о проведении операции, которая длилась более 5 часов»,— рассказала врач-нейрохирург Ольга Мурашова.
Операция прошла успешно. Пациентка восстанавливается. По словам госпожи Мурашовой, впервые опухоль головного мозга выявляют у 150-200 жителей Удмуртии в год.
